20.08.2017 r.
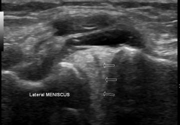
Ultrasonografia to jedyne, tak szybkie i wiarygodne badanie z szeregu dostępnych możliwości obrazowania narządu ruchu. W kilka chwil pozwala na ocenę uszkodzeń stawowych, dla przykładu zdjęcie uszkodzonej łąkotki bocznej (łac. meniscus lateralis).

czytaj dalej

01.05.2017 r.
Aby sport, bez względu na dyscyplinę i charakter wykonywanej pracy nie stał się początkiem katastrofy zdrowotnej warto wziąć pod uwagę możliwości nowoczesnej fizjoterapii. Terapeuci zajmujący się sportem wyróżniają różne sposoby pracy.

czytaj dalej

05.03.2017 r.
Konfliktem podbarkowym często zwanym cięśnią podbarkową nazywa się bolesną dysfunkcję stawu ramienno-łopatkowego, w której dochodzi do zbliżenia struktur kostnych i ucisku na ścięgna mięśniowe przebiegajace w tej przestrzeni.

czytaj dalej

28.02.2017 r.
Kinesiotaping lub medyczny taping to nazwa metody, która wykorzystuje bawełniane plastry przyklejane na skóre w odpowiedni sposób. Dzięki prawidłowej aplikacji można osiągnąć szereg porządanych skutków.

czytaj dalej